
© 2026 Blaze Media LLC. All rights reserved.
For Over 20 Years a Man Went to the Bathroom Too Often. When Doctors Investigated They Found Something Fascinatingly Gross.
April 02, 2015
"Free-floating, smooth, firm."
A 62-year-old man told doctors that for more than 20 years, he had suffered from an overactive bladder.
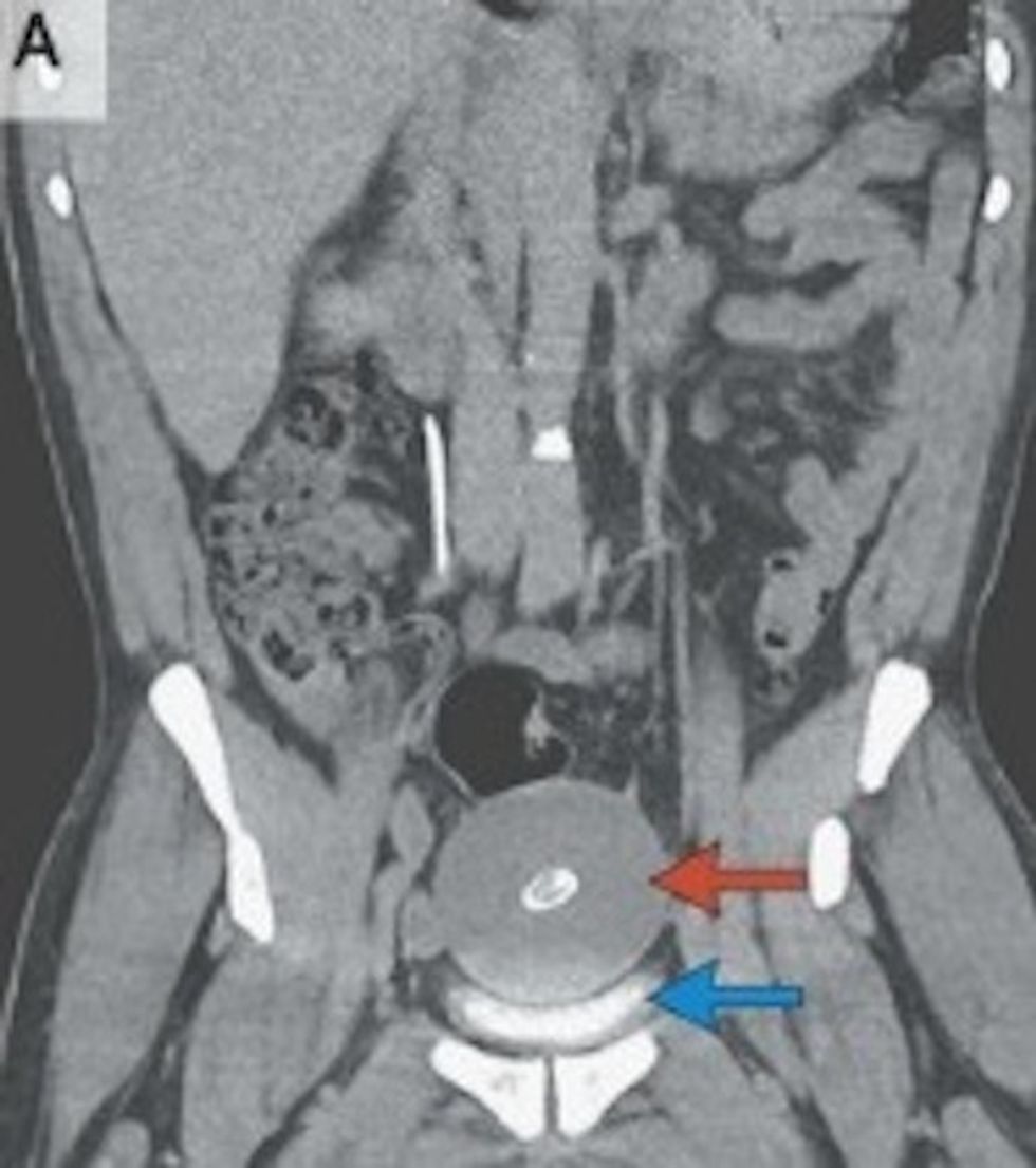
Doctors didn't find anything wrong in a physical exam or laboratory tests, but a CT scan revealed otherwise. Going into the man's pelvis with a small camera, they found what they described in the New England Journal of Medicine as a "free-floating, smooth, firm, rubbery mass."
The mass measured larger than the average chicken egg and weighed almost a half of a pound.

To further analyze the mass, Dr. Rachael Sussman from Georgetown University Hospital and Dr. Jonah Murdock with the Washington, D.C., Veterans Affairs Medical Center, dyed it green and sectioned it. They determined the mass was "predominantly acellular, laminated, fibrous tissue; centrally, the specimen contained proteinaceous material with fibrinoid necrosis, surrounded by a ring of calcification."
They believe it formed from a fatty appendage that experienced cell death, was twisted then detached, resulting in the fibrous mass.
"Such masses are often asymptomatic when they are small, but they can be large enough to cause extrinsic compression that is associated with bowel obstruction, urinary retention or (as in this patient) urinary frequency," the doctors wrote.
Fortunately, when the mass was removed, the doctors reported that the man's symptoms of frequent urination stopped.
(H/T: Daily Mail)
—
Front page image via the New England Journal of Medicine.
Want to leave a tip?
We answer to you. Help keep our content free of advertisers and big tech censorship by leaving a tip today.
Want to join the conversation?
Already a subscriber?
more stories
Sign up for the Blaze newsletter
By signing up, you agree to our Privacy Policy and Terms of Use, and agree to receive content that may sometimes include advertisements. You may opt out at any time.
Related Content
© 2026 Blaze Media LLC. All rights reserved.
Get the stories that matter most delivered directly to your inbox.
By signing up, you agree to our Privacy Policy and Terms of Use, and agree to receive content that may sometimes include advertisements. You may opt out at any time.






