
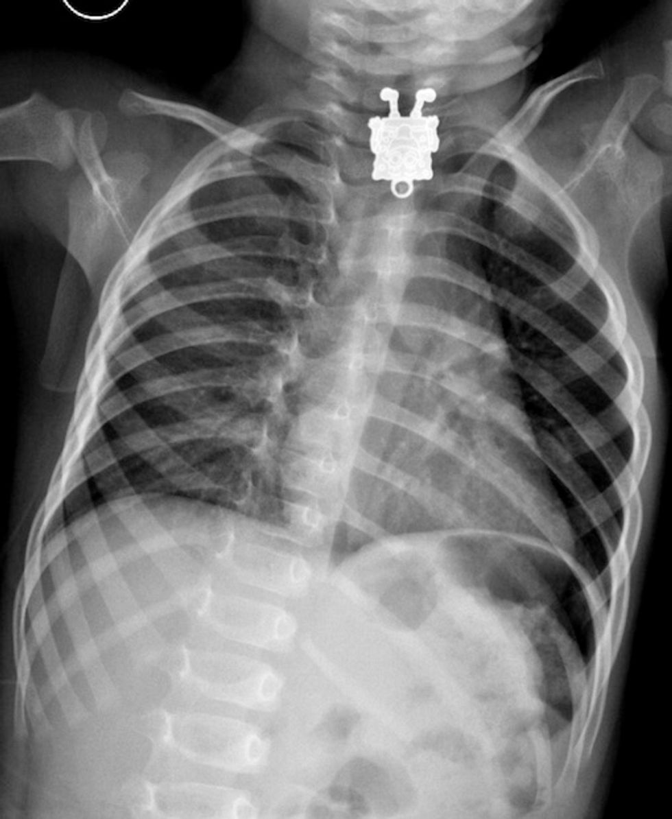
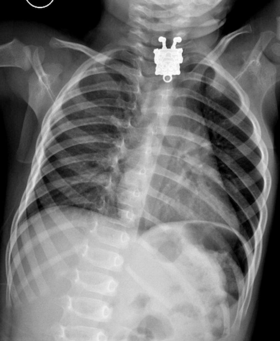
Case courtesy of Dr Ghofran Ageely, Radiopaedia.org

Small children have a tendency to put things that they pick up in their mouths. And according medical experts, they also frequently swallow those items, leading to emergency room visits.
One 16-month-old boy in Saudi Arabia recently swallowed his sister's SpongeBob necklace and was rushed to the hospital. The X-rays of the child's chest taken at King Abdulaziz University Hospital in Jeddah produced some entertaining images. Including one that showed the popular cartoon character smiling at them while sticking out his tongue.
The Daily Mail reported radiologist Dr. Agreely actually screamed when she first saw the image on the scan.


Doctors were able to retrieve the pendant from the young boy's throat and esophagus and send him home.
How common is this kind of situation? According to the experts at Radiopedia.org, it happens frequently to children six months to 6 years old.
The medical website reports that coins are the most popular item swallowed by children, followed by toys, batteries and bones. A majority of these make it through to the stomach with "up to 80% passing spontaneously."
The doctors at Radiopedia do note, "Batteries have a high rate of complication and should be urgently removed."
(H/T: Daily Mail)
__
Follow Mike Opelka (@Stuntbrain) on Twitter.