
Image source: The Telegraph

A group of researchers have captured the clearest images of an unborn baby in the womb ever taken, according to The Telegraph.
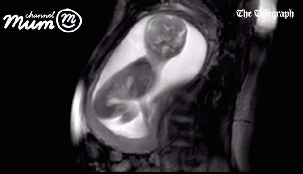
The international team of researchers at the iFIND project captured footage of a baby at 20 weeks gestation using new computer-guided ultrasound technologies.
The baby, the child of an unnamed mother in London, can be seen in the video moving its umbilical cord, moving its head from side to side and stretching and kicking in the mother’s womb.
The new technology uses computer algorithms to automatically correct small movements by the baby, which can sometimes render a traditional ultrasound unusable.
Dr. David Lloyd, a clinical research fellow at King's College London and part of the iFIND project, told The Telegraph that "taking pictures of a 20-week fetus while they're still in the womb really isn't that easy."
"For one thing, they're very small,” Lloyd said. "The fetal heart, for example, with all of its tiny chambers and valves, is only about 15mm long: less than the size of penny.”
"Ultrasound technology — used in all routine antenatal scans in the UK — is actually fairly good at visualizing these tiny structures,” he added. "It uses very high-frequency sound waves which are reflected back ('echo') from the structures inside the body to produce an image. In [fetal] ultrasound, the images produced can be excellent; but unfortunately that's not true for every patient.”
"Importantly, it is also one of the few imaging techniques that is safe to use in pregnancy," he emphasized.
Researchers and clinicians are still developing the technology, which they hope to use to reveal complications earlier in pregnancy, enabling doctors to treat more problems before birth.
(H/T: Catholic News Agency)