
SIP/Universal Images Group via Getty Images

A leading skin cancer doctor is hopeful that an experimental treatment will bring a miracle and cure his nearly uncurbable brain cancer.
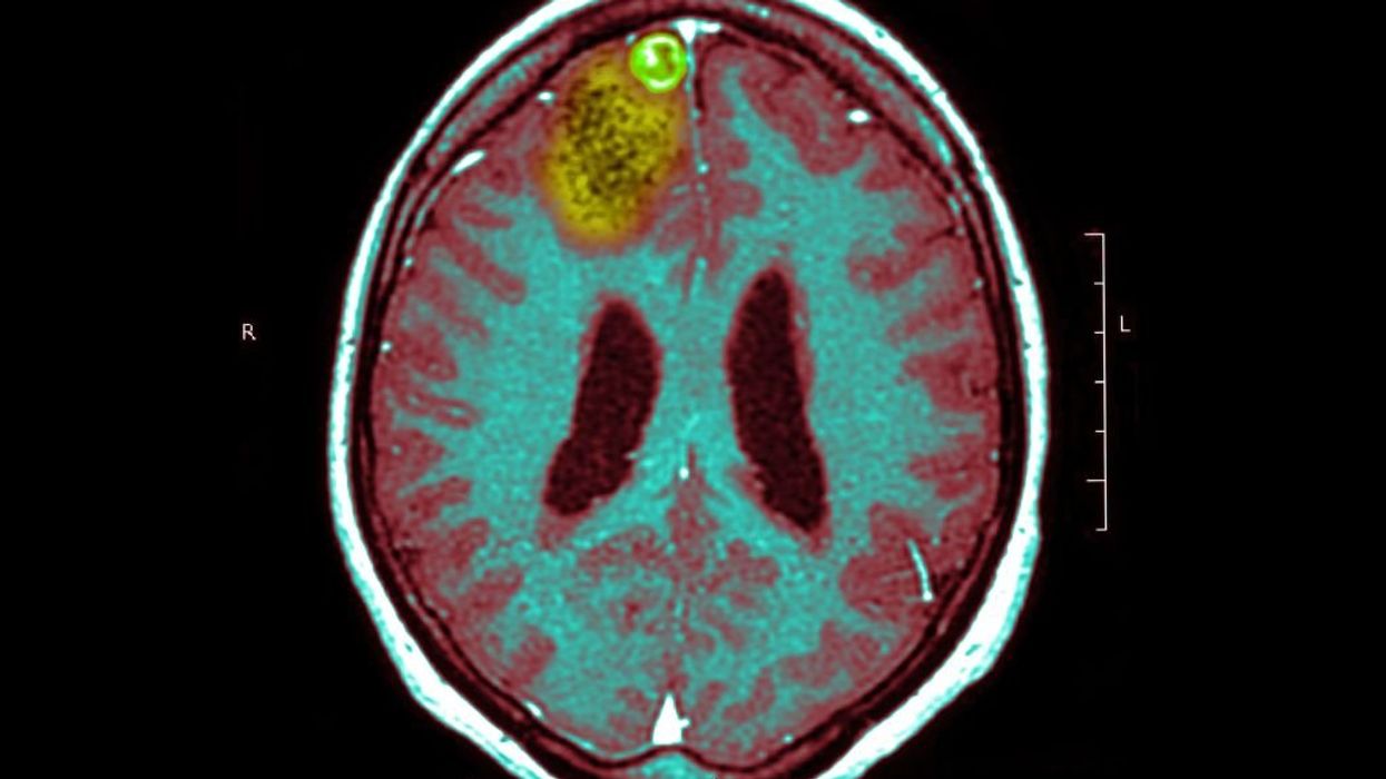
Richard Scolyer is a professor at Sydney University in Australia and a surgical pathologist. Professor Scolyer is also suffering from one of the deadliest forms of cancer – a glioblastoma.
The Mayo Clinic defines a glioblastoma as:
A type of cancer that starts as a growth of cells in the brain or spinal cord. It grows quickly and can invade and destroy healthy tissue. Glioblastoma forms from cells called astrocytes that support nerve cells. Glioblastoma can happen at any age. But it tends to occur more often in older adults and more often in men. Glioblastoma symptoms include headaches that keep getting worse, nausea and vomiting, blurred or double vision, and seizures.
According to Healthline, "The median survival time for adults with glioblastoma is 15 months."
Just 3% to 5% of patients survive more than three years.
Scolyer – a 57-year-old married father with three children – was diagnosed with brain cancer last June.
For a treatment strategy, Scolyer turned to Georgina Long – his friend and co-director of the Melanoma Institute Australia.
According to the Australian Broadcasting Corporation, "Both have been at the forefront of groundbreaking advances in melanoma treatment and saved thousands of lives with their immunotherapy approach."
"We've taken everything, absolutely every bit of knowledge … that we've pioneered in melanoma and we've thrown it at Richard's tumor," Long told the outlet.
Knowing the extraordinary odds and that timing is critical, Long proposed a radical plan to try to cure the nearly incurable brain cancer. However, there were significant risks.
Professor Scolyer was the first in the world to delay brain surgery to remove the tumor and start with pre-surgery combination immunotherapy.
"Combination immunotherapy counters several immunosuppressive elements in the tumor microenvironment and activates multiple steps of the cancer-immunity cycle," according to the National Library of Medicine.
The professor is also the first person to receive a personalized vaccine to combat the tumor.
"Brain cancer doctors were so worried this would kill me quicker or result in terrible side effects," Scolyer explained.
Scolyer joked that the treatment plan was a "no-brainer."
"It's not a hard decision to make when you're faced with certain death. I'm more than happy to be the guinea pig to do this," Scolyer said.
Scolyer, his family, and the treatment team were extremely nervous when it came time for his recent brain scan at the end of January.
Long said her friend's brain is "normalizing"
A "thrilled" Scoyler said there's "no recurrence of my supposedly incurable glioblastoma!"
Scolyer said the chance that he is cured of his aggressive cancer is "miniscule," but he's optimistic that "a miracle could happen."
Scolyer proclaimed, "I'm confident, to be honest, that it's going to make a difference for future brain cancer patients."
He cautioned, "I'm just one patient though. We won't really know [it works] until we do clinical trials."
Scolyer told the BBC that he wants to live long enough to see his kids "become truly independent."
The doctor said that he is "extraordinarily resilient," but "it's tough."
"I love my family. I love my wife… I like my work," he declared with a grimace.
"I'm pissed off. I'm devastated," he said. "I don't want to die."
His only comfort is that the data from his experimental treatment is "changing the field, and if I die tomorrow with that, I'm very proud."
Like Blaze News? Bypass the censors, sign up for our newsletters, and get stories like this direct to your inbox. Sign up here!
An experimental treatment against 'certain death' | Professor Richard Scolyer | Australian Storywww.youtube.com